What to expect
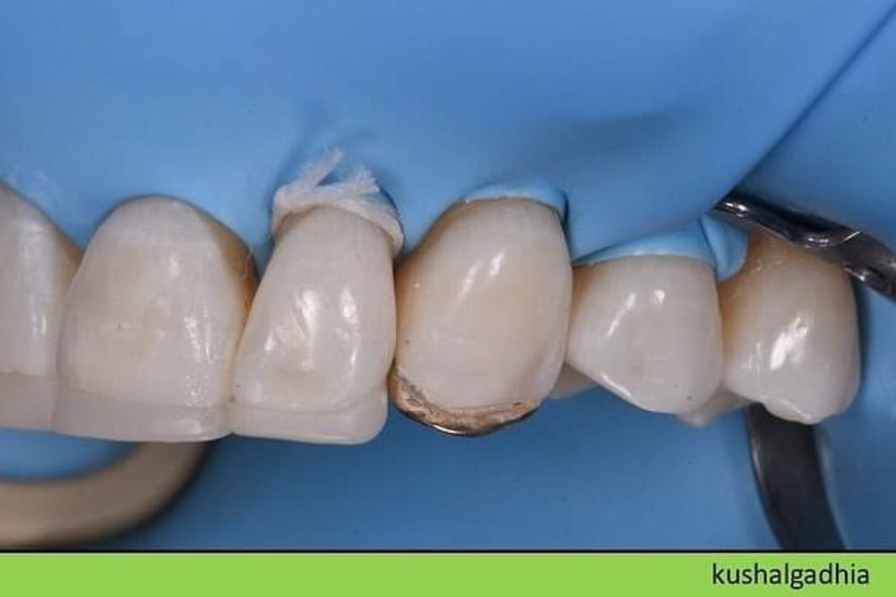
This exciting and unique course begins with an on-demand lecture to view at a time that suits you and is followed with a day-long live and interactive online workshop. Attend from wherever you choose! As part of this virtual training, our speaker, Kushal Gadhia will live-stream in real-time his treatment of a patient with localised tooth wear, using the sandwich technique.
This event will help to enhance the understanding and clinical skills required to manage localised tooth wear (TSL) using a combination of indirect and direct restorations with minimal preparation of the teeth. There will be an opportunity to ask questions in the live online workshop.
Course requirements
The one hour on-demand lecture must be completed in advance of joining the live virtual online training day.
The lecture will be available to view one-month prior to the practical training day.
No refunds or deductions will be offered for failure to complete the lectures.
Learning objectives
Pre event on-demand lecture objectives:
- Review the theory on the management of localised TSL
- Understand how to increase the vertical dimension and what records to take prior to the build up
- A step-by-step guide on the design and laboratory fabrication of the palatal backings
- Understand the bonding protocols needed when using composite palatal backings and/or gold palatal backings in combination with either direct labial composite finish and/or indirect labial emax restorations
- Discuss how to control and protect the occlusion in management of TSL.
Live online day objectives:
- Understand the preparation of the surgery, the staff, the material required and the patient prior to the start of the procedure
- A step-by-step protocol on bonding of palatal backings on maxillary anterior teeth, undertaken under the microscope
- Discuss material choice and clinical protocol involved in bonding the palatal backings
- A step-by-step protocol on the labial finish, either using direct labial composite finish and/or indirect labial emax restorations.
Development outcome
C



